Receding gums and tooth sensitivity getting worse? A gum graft can restore comfort — and your smile
.webp)
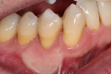
If your teeth feel more sensitive lately, or your smile looks “longer” than it used to, you’re not alone. Gum recession happens gradually, but left untreated, it can lead to discomfort, exposed roots, and future oral health issues.
The good news? Gum grafting is a safe, simple procedure that not only protects your teeth but can restore your natural smile (and your self-confidence).

Sensitivity, weakened tooth support and reduced self-esteem: We understand that gum recession can get you down.
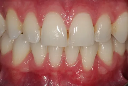
See how a gum graft could restore your smile and self-esteem
Book Appointment


No referral is needed, but we’re happy to work with your dentist to ensure great all-round care.
We’ll talk through your options—whether that means monitoring, improving your home care, a graft or alternative treatment. No pressure, just the right plan for you.
Always know what’s happening and why with clear info and honest answers.
Gum grafting protects exposed roots and restores your gum health. But that’s not all. It can improve the look of your smile and boost your self-confidence. It’s a small procedure that makes a big difference, functionally and cosmetically.
From personalised planning and specialist care to real follow-up (not just a quick check-in)—because exceptional results start with a team who’s in it with you for the duration.
We don’t believe in cookie-cutter care. The cost of your gum graft will depend on the severity of your recession and complexity of the procedure. Don’t worry, we’ll tailor a treatment pan that works for you—your schedule and your budget.
Gum grafts may be partly or fully covered by your private health insurance. We accept all major health funds, so talk to your provider to find out.
A gum graft, also known as soft tissue grafting, is an effective way to treat severe gum recession. It’s a straightforward procedure where healthy gum tissue—either from the roof of your mouth or a donor material—is gently placed over any exposed roots. This helps to rebuild healthy gums and can cover sensitive areas where the gum has pulled back from the teeth.
Yes. The most common type of gum graft is a connective tissue graft. This involves gently taking a small piece of tissue from the roof of the mouth and using it to cover exposed roots when the gum has receded. Other common types include free gingival grafts and pedicle grafts.
A free gingival graft takes a thin layer of tissue from the roof of your mouth and places it where the gums are too thin. It helps strengthen the area and prevent further recession—great for people with naturally delicate gum tissue.
In patients who have plenty of healthy gum tissue nearby, a pedicle graft can be performed. Healthy gum tissue is gently loosened and stretched to cover the exposed roots. Because the tissue stays attached at one end, it heals quickly and looks natural.
You might be. Gum grafts are often recommended if you have:
- Receding gums that expose the roots of your teeth
- Tooth sensitivity to hot, cold or brushing
- Thin or fragile gum tissue that needs strengthening
- Visible root surface affecting the look of your smile
- A need to protect teeth or support dental implants
Not all gum recession requires a gum graft. Mild cases may be managed with non-surgical treatment. The best way to know for sure is to have a periodontist take a look. At your consultation we’ll check your gum health, talk through your concerns, and let you know if a gum graft is the right next step.
This will depend on which type of gum graft treatment you have. However, a gum recession graft is a routine procedure. Healthy tissue is taken from the mouth (or a safe donor material) and placed over areas with thin or receding gums. The new tissue helps cover exposed tooth roots, reduce sensitivity and strengthen the gums to prevent further recession.
The procedure is usually done under local anaesthetic, so you’ll be comfortable throughout. Afterward, you’ll be given detailed aftercare instructions to ensure a quick and comfortable recovery.
Receding gum graft surgery is typically straightforward, but it will take a little time for your gums to heal.
- In the first 1-2 days, it’s normal to have some mild swelling, bleeding or discomfort.
- For at least two weeks, it’s best to avoid hard foods and brush teeth gently, avoiding the grafted site.
- Within 2-3 weeks, initial healing is almost complete, but the grafted area may still be a bit sensitive.
- Within-3-6 months, you should be completely healed.
A gum graft (or tissue graft procedure) might sound daunting, but most people are surprised by how manageable it is. The area is fully numbed during the procedure, so there’s little discomfort.
Afterwards, it’s normal to have some mild soreness or swelling for a few days—similar to how you might feel after having a tooth removed. We’ll give you personalised aftercare instructions and pain relief options to help you stay comfortable as you heal.
The benefits of a gum graft include:
- Reduced tooth sensitivity
- Prevents further gum recession
- Protects tooth roots
- Improves the look of your smile
- Supports long-term oral health
Considerations include:
- Recovery time, although this is minimal
- Cost
- Success rate. This is typically high (up to 95%), particularly when performed by an experienced periodontist
Gum grafts are safe, routine procedures—especially when performed by a specialist. But as with any surgery, there are a few risks to be aware of:
- Discomfort or prolonged healing. Following the aftercare instructions will reduce this risk.
- Bleeding or infection is rare but possible.
- Graft failure, although this is uncommon with proper care.
- Colour mismatch. The new gum tissue may look slightly different in colour and texture to the surrounding gums.
Gum grafts can help protect the roots of your teeth by covering exposed areas and strengthening the surrounding tissue. This reduces the risk of root decay and further gum recession—all of which can lead to tooth loss over time. By restoring a healthy gum line, a graft gives your teeth stable support to stay in place.