Gum disease taken away your smile? Dental implants can bring it back

If you’re looking into dental implants because you’ve lost teeth to gum disease, you probably have a lot of questions.
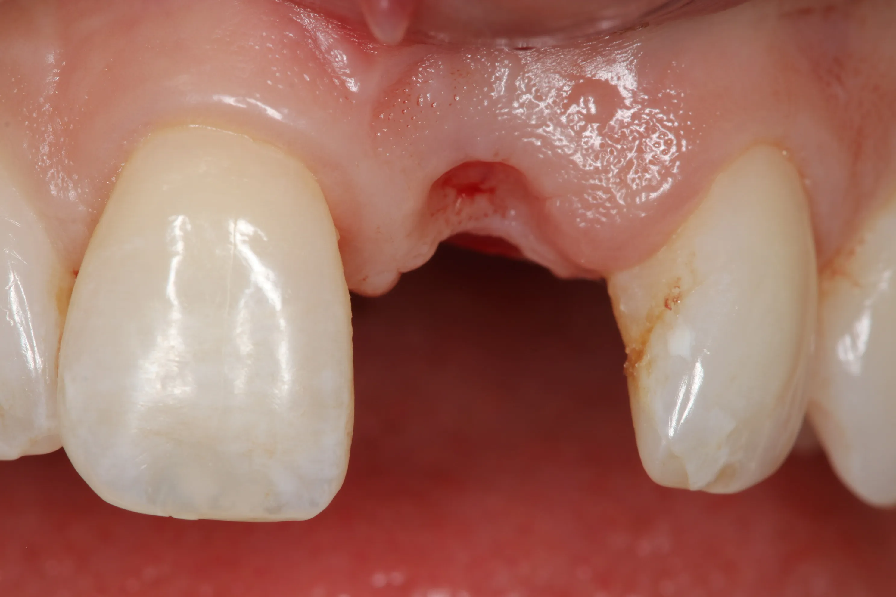
You may even have given up hope that you can have tooth replacements. And if you’re already having trouble eating, speaking and socialising, you may be afraid that you’ll lose all of your teeth in the end.

No matter what your situation, you’ve come to the right place for your health and happiness.
See how dental implants could restore your smile




You don’t need a referral from your dentist. Even without a referral, we will keep your regular dentist up to date on your treatment and make sure they are part of your journey to back to health.
We will listen to you and ask questions until we know we’ve gotten to the heart of your concerns. We’ll assess you thoroughly and reach a detailed diagnosis.
Embark on your path to a future of healthy gums and great teeth.
Dental implants are very similar to natural teeth in that they have a ‘root’ that’s embedded into the gum tissue and secured in the bone below.
Much like natural teeth, implants are made up of two parts, a tooth root and a visible crown. They work so well and are so natural looking that even you might have trouble telling the difference once they’re in.
The cost of your dental implants will depend on how many teeth we are replacing, but at EO Perio you get specialist treatment for the price you would pay a non-specialist. That means you pay the same and receive better chances of long-term success, and minimally invasive surgery with fast healing times.
Dental implants are an investment that will change your life for the better. They are made of premium, durable materials that are carefully crafted to restore your smile seamlessly. The cost varies depending on how many teeth you are replacing with tooth implants, but it is absolutely worth it.
Other clinics may charge more, but you can rest assured that at EO Perio, you’re getting specialist treatment for the same price as you would pay a non-specialist. And you are our absolute focus - we won’t ‘churn you through’ like larger practices might. We work with you and - if you would like us to - with your referring dentist to give you great care before, during and after your procedure.
Being gum specialists, we are trained to understand exactly how your gum tissue and bone function. That means not only do we place your implants so that they look perfectly natural, we also know how best to do that so you barely feel a thing and heal quickly. Finally, being experts in gum care, we can guide you through the healing process and help you manage any mild discomfort, if it does occur.
If you treat your new dental implants the way you would care for your original teeth, with daily brushing and flossing, and regular six-monthly check-up and clean visits with your dentist, we will be able to get maximum lifespan out of them.
There are very few cases where a dental implant won’t work. And seeing a periodontist for your implant surgery increases your chances greatly. We will be able to tell straight away if you’re a good candidate, so all you have to do is come in and see us to begin your journey back to a full, healthy smile. In case dental implants are not the right solution for you, we do our best to find an alternative solution that works for you.
In many, many cases, even where patients have been told gum disease means they can’t have tooth implants, a periodontist can help. And the advantage of having implants fitted by a gum disease specialist if you suffer from periodontitis is that we can work with you to treat or manage the condition long after your procedure. That means you get to fully enjoy your new tooth replacements and forget all the pain and hassle of gum disease.